Colds, coughs, and flu are part of life, but for some people, respiratory infections can be far more serious. Every winter, thousands are hospitalised with pneumonia, a lung infection that can be life-threatening — especially for older adults, young children, and those with existing health problems.
The lungs are designed to defend us, but infections can overwhelm them. In this article, we’ll explain how respiratory infections affect the lungs, what pneumonia really is, and how you can protect yourself and your loved ones.

Most of us recover from a cold or chest infection with rest, fluids, and time. But infections can sometimes spread deeper into the lungs, causing serious complications.
Respiratory infections:
Are among the leading causes of illness worldwide.

The lungs are lined with mucus and tiny hairs (cilia) that trap and sweep out germs. When bacteria or viruses overwhelm these defences:
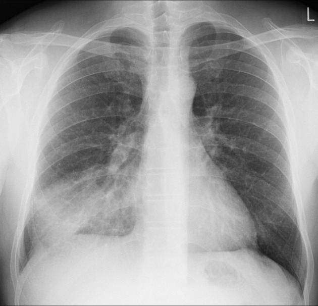
Pneumonia is an infection of the lungs caused by bacteria, viruses, or fungi. It ranges from mild to life-threatening.
Common symptoms include:
Pneumonia can affect anyone, but those at highest risk include:

Seek medical help urgently if you or someone you care for has:
Early treatment with antibiotics (for bacterial pneumonia) or antivirals (for flu-related infections) can prevent complications.
The good news: there are many ways to lower your risk.
Flu vaccine: annual jab recommended for most people, especially at-risk groups.
Pneumococcal vaccine: protects against the most common bacterial cause of pneumonia; offered to children, older adults, and those with chronic conditions.
COVID-19 vaccine: helps prevent severe respiratory illness.

If you care for children, older relatives, or people with chronic conditions, encourage vaccinations, monitor for early symptoms, and act quickly if they become unwell.
Respiratory infections can be particularly dangerous for people with asthma, COPD, or other chronic lung conditions. They can trigger flare-ups that require hospital care.
Tips for people with chronic lung conditions:
Antibiotics save lives in bacterial pneumonia, but they don’t help with viral infections like the flu. Overuse of antibiotics contributes to antimicrobial resistance (AMR), which makes infections harder to treat.
Doctors prescribe antibiotics only when they are likely to help. Completing the full course is vital to prevent relapse and resistance.

“Only old people get pneumonia.”
False. Anyone can get pneumonia, though risk increases with age.
“You always need antibiotics for pneumonia.”
False. Many cases are viral and don’t require antibiotics.
“If you’re fit and healthy, you don’t need the flu jab.”
False. Even healthy adults can develop severe flu or pass it to vulnerable people.
Book an appointment with Dr Aldik here..